Жителю Приморья чудом сохранили глаз при работе со шлифовальной щеткой
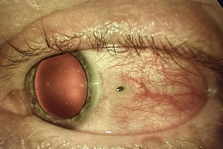
Да зачем мне маска, каска и очки, я и так все могу! Приходилось такое слышать, а, может быть, даже говорить? Техника безопасности не просто так придумана - металлическая щетинка отлетела от инструмента и вонзилась мужчине в глаз. Хирурги ККБ № 2 установили, что часть проволоки торчала снаружи, а другой конец прошел внутрь глазного яблока, остановившись в 3,5 мм от роговицы. По словам врачей, пациенту очень повезло: в месте повреждения нет сетчатки, что позволило избежать слепоты.
Врачи удалили металл из глаза и ушили рану, мужчина идёт на поправку, и обещает, что теперь при работе будет смотреть в оба. Через очки.











































